 
Dünyanın En Güçlü Manyetik Rezonans Görüntüleme Cihazı

Dünyanın en güçlü manyetik rezonans görüntüleme (MR) cihazı, ortalama bir hastane tarayıcısının saatlerce çalışmasını gerektirecek bir çözünürlüğe yalnızca dört dakikada ulaşabilmektedir. Bu cihaz, bilim insanlarına insan beynine benzersiz bir pencere açarak önemli bir katkıda bulunmaktadır.
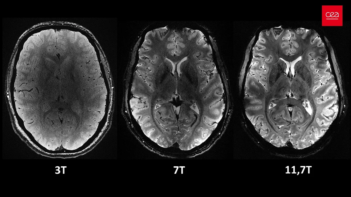
MR tarayıcıları, vücudu veya görüntülemek istediğiniz alanı güçlü bir manyetik alanla çevreleyerek çalışır. Tıbbi uygulamalarda yaygın olarak kullanılan cihazlar genellikle 1,5 veya 3 tesla (T) alan şiddetine ulaşabilir. Bir MR cihazının gücü arttıkça, elde edilen görüntülerin çözünürlüğü ve kalitesi de artar. Bu durum, vücutta “olmaması” gereken kitlelerin tespit edilmesini önemli ölçüde kolaylaştırır.
Şimdi ise, Iseult MR makinesi adı verilen yeni nesil bir cihaz, 11,7 T güce ulaşarak dikkatleri üzerine çekmektedir. Bu olağanüstü güç, yayınlanan beyin görüntülerinin kalitesini de gözler önüne sermektedir. Pratikte, bu yüksek çözünürlük, 1,5 veya 3T tarayıcıların alacağı görüntüleri çok daha kısa sürede elde edebilmek anlamına geliyor.
Örneğin, Türkiye’deki hastanelerde, yaşlı hastalar standart bir MR cihazına sokulduğunda 15-30 dakika arasında yüksek gürültüye maruz bırakılmakta. Özellikle yaşlı bireylerin bu rahatsız edici pozisyonda 20-30 dakika boyunca kıpırdamadan durmaları oldukça zor olmaktadır. Ancak yeni Iseult MR makinesi, 30 dakikada yapılacak bir görüntülemeyi sadece 3-4 dakikada tamamlayabiliyor. Bu durum, hastaların konforunu artırırken, aynı zamanda 20-30 dakika boyunca hastanın hareket etmesinden kaynaklanabilecek hata riskini de minimize etmektedir.
Beyin Hastalıklarında Erken Teşhis Oranı Yükselecek
Bu güçlü MR cihazları ile gerçekleştirilecek beyin taramaları, Alzheimer gibi hastalıkların başlangıcını çok daha önceden tespit etmeyi mümkün kılacaktır. Erken teşhis sayesinde hastalıklara yönelik önlem almak da daha kolay hale gelecektir. Elbette, MR cihazları oldukça pahalı tıbbi ekipmanlardır ve sürekli olarak yenilenmeleri pek mümkün değildir. Ancak hastaneler, mevcut cihazları eskidikçe ve yeni cihaz alım zamanı geldiğinde, bu güçlü MR cihazlarına yönelmek zorunda kalacaklardır.
Dolayısıyla, önümüzdeki 10 yıl içinde tıbbi kurumlarda yeni nesil güçlü MR cihazlarının standart hale gelmesini beklemek oldukça mantıklıdır.

 
		 
		 
		 
		 
		 
		 
		 
		 
		 
		